Any jokes (especially the above) from us are purely coinci-dental. :)
Fillings, however, are serious business. When done properly, they stop a hole in your tooth (tooth decay) from growing larger. All our dentists are very skilled at spotting the need for and providing fillings for your teeth.
What does a filling involve?
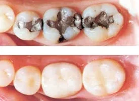
Fillings can be made of multiple materials usually either metallic or composite. We predominantly use composite material although we can also offer metallic fillings.
Before we proceed with a filling, we often take an intra-oral xray as standard procedure to confirm a suspected hole and examine the extent of it.
Fillings may be done using different materials such as metallic filling or composite resin filling.
If we detect a hole that requires a filling, it would involve cleaning out that hole and filling that hole with the composite resin or metallic filling.
How can i tell if i need a filling?
Often holes in teeth are hard to detect and require a dentist to tell if you require treatment for it.
If your tooth hurts, it may be be too late for a filling as infection may have reached the nerve pulp. At this stage, it may require root canal therapy where we clean the tooth, remove the infected nerve pulp and provide a more substantial filling for the tooth. This procedure is much more difficult and expensive.
The other alternative is a tooth extraction which is not always the cheaper or most viable option as it may require a denture to fill the gap for the tooth if having a gap is aesthetically displeasing for you.
Contact us
Contact us for a checkup to see if your tooth needs a filling.
